
Titulinis
Diskusijos
Sveikata
Sąnarių problemos - 2: Displazija, degeneracija
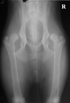
Erke, va palygink su savo. 1 sveikas, 2 sunkus laipsnis, 3 kaire...
Galerija
Diskusijos
Sveikata
Sąnarių problemos - 2: Displazija, degeneracija
Erke, va palygink su savo. 1 sveikas, 2 sunkus laipsnis, 3 kaire...
Galerija
Erke, va palygink su savo. 1 sveikas, 2 sunkus laipsnis, 3 kaire...
(2 foto iš 3)




|
Bone
Mice










