Kardioechoskopija: žingsnis į priekį gelbstint gyvūnus 11

2010 liepos 29d.
Amerikiečių Stafordšyro terjeras Bruno, 6 metų patinas, būtų neišgyvenęs. Diagnozė, kurią sužinojo šuns šeimininkas vilnietis kinologas Sergejus Gračiovas, nieko gero nežadėjo: šuns širdies maišelyje (perikarde) kaupiasi skysčiai.

Bruno šeimininkas kreipėsi į veterinarijos kliniką dėl prastos augintinio savijautos: apatijos, nenoro judėti, sunkaus kvėpavimo.

Apžiūrint šunį, į akis krito padidėjusi pilvo apimtis, o atlikus echoskopiją, nustatytas didelis skysčių kiekis pilvo ertmėje (ascitas). Buvo atlikti kraujo tyrimai bei, svarbiausia, atliktas išsamus širdies tyrimas – kardioechoskopija.

Po minėtų tyrimų tapo aišku: tarp epikardo ir perikardo susikaupė virš 2 cm skysčio sluoksnis, spaudžiantis miokardą.

Nuodugnus miokardo tyrimas ultragarsu parodė, kad dešinioji širdies pusė smarkiai suspausta, ypač dešinysis prieširdis. Šio sunkaus negalavimo priežastys būna įvairios: patirta trauma, uždegimas, infekcija, skydliaukės disfunkcija, navikas.

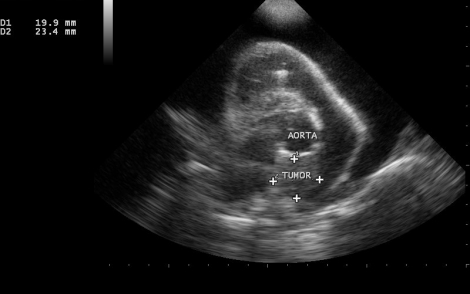
Tiriant miokardą, ties aortos pagrindu buvo aptikta dažniausiai pasitaikanti skysčio kaupimosi perikarde priežastis didesnių veislių vyresnio amžiaus šunims – 2x3 cm dydžio navikas (žr. nuotrauką).

Nesiimant jokių priemonių, šuo buvo pasmerktas greitai žūčiai. Gyvūno būklė buvo kritinė, tačiau eutanazijai nepritarė nei šeimininkas, nei gydytojai. Todėl buvo nuspręsta išsiurbti skysčius.

Iš pradžių buvo punktuotas pilvo ertmės turinys – išleista apie 5 litrai (!) kraujingo skysčio. Dar šiek tiek skysčių liko pilvo ertmėje. Paskui buvo atlikta perikardo punkcija, išleista  keli šimtai mililitrų kraujingo skysčio.

Po 2 dienų atlikus kontrolinį tyrimą ultragarsu, nei perikarde, nei pilvo ertmėje skysčių nebebuvo. Miokardo susitraukimų jėga padidėjo, širdis suaktyvino kraujotaką didžiajame apytakos rate, šuo tapo judresnis, energingesnis, pagerėjo ir apetitas. Visa tai teikė vilčių.
Dabar, praėjus daugiau kaip 3 mėnesiams, šuo jaučiasi puikiai, yra žvalus, energingas, priaugo ligos metu prarastą svorį. Šuo vėl gyvena visavertį gyvenimą.

Tačiau jį ir toliau stebi veterinarijos gydytojai: kas 2 savaites echoskopu tikrinama pilvo ertmė ir širdis. Šiuo metu pilvo ertmėje skysčių nėra. Perikarde pastebėta tik keli milimetrai skysčio. Gali būti, kad ilgainiui skysčiai gali vėl pradėti kauptis, tokiu atveju reikės atlikti dar vieną punktavimą.

Iki šiol toks susirgimas buvo laikomas nepagydomu, todėl, nors labai gaila, pacientai būdavo eutanazuojami. Dabar, veterinarinei pagalbai tampant vis kokybiškesnei, su aprašytomis procedūromis ir medikamentine terapija šuo gali toliau gyventi, o šeimininkai – džiaugtis kiekviena su savo augintiniu praleista diena.

Veterinarijos gydytojas kardiologas Orestas Vovk,
ZooVeterinarijos centras TOTO
(straipsnio reitingas +31)

Skaitykite komentarus 11


reklama